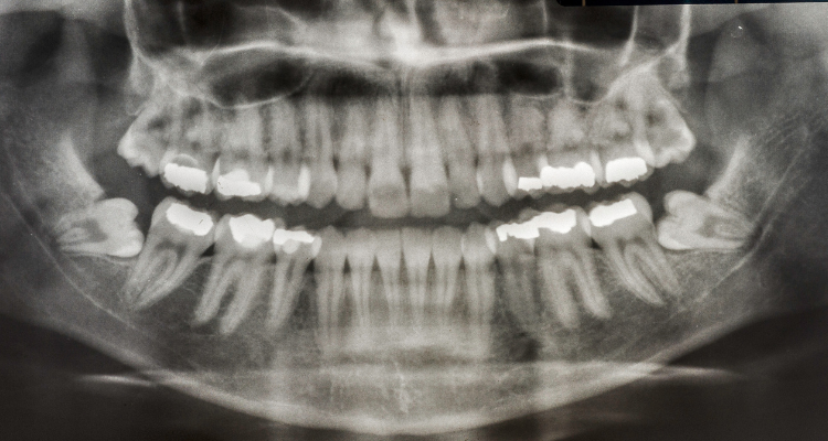
An impacted tooth is a tooth that is unable to erupt properly. Wisdom teeth are the most common teeth to become impacted, and our oral surgeon and team offer wisdom teeth removal to extract these teeth before they can cause problems for your oral and overall health and for your smile. If you have any questions about impacted wisdom teeth in Fairhope, Alabama, or would like to make an appointment with Dr. Richard Cordero, call Eastern Shore Oral, Facial and Implant Surgery Center today at 251-333-1700.
A tooth that fails to completely erupt, or erupt at all, is referred to as an impacted tooth. Some of the problems that can result from this condition may include:
The most common type of impacted tooth are wisdom teeth, also known as third molars. These teeth usually erupt in a person’s late teens or early 20s, when a person is older and presumably wiser. However, these teeth have been known to erupt at any time during adulthood. Because these teeth are the last to erupt, there is usually not enough space for them to come in properly, and they need to be removed to preserve a person’s oral health.
The second most common problem is with impacted canines. These teeth are located on each side of the incisors and give your smile a symmetrical appearance, as well as helping you grip and tear your food. In most cases, removing the gum tissue around the tooth can solve the problem, although there may be instances when additional orthodontic work will be required to move the tooth into the proper position.

Our oral surgeon and team will be happy to see you for an examination and consultation to help you decide if your smile can benefit from this treatment. Please give us a call at 251-333-1700 to discuss.